Учёные Педиатрического университета объяснили молекулярные механизмы развития коронавирусной инфекции
Статья «COVID-19 у детей: молекулярный профиль и патологические особенности» вышла в швейцарском журнале первого квартиля International Journal of Molecular Sciences. По версии журнала, опубликованная статья возглавила список последних достижений в области молекулярных исследований COVID-19. Данные учёных Педиатрического университета важны как для понимания патогенеза коронавирусной инфекции и других заболеваний, так и для поиска новых методов терапии.
|
- Это первое в мире исследование ковида у детей такого уровня. Удалось проследить патогенетические звенья, молекулярный путь, начиная от проникновения вируса. Мы выявили клетки-мишени, молекулярный механизм, лежащий в основе поражения этих клеток, последствия поражения, - сообщил один из авторов статьи, проректор по научной работе Педиатрического университета Руслан Насыров. |

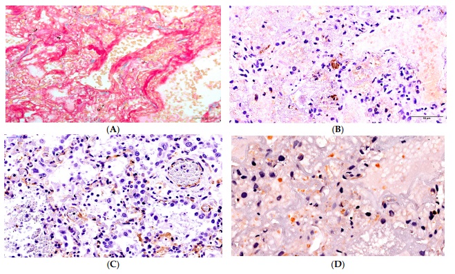
Он пояснил, что сотрудники кафедры патологической анатомии университета с начала пандемии изучали изменения тканей лёгких пациентов с разной продолжительностью заболевания, выполняли иммуногистохимические и ПЦР-исследования образцов.
|
- Иммуногистохимическая окраска показала, что нуклеокапсид (геном вируса, заключённый в белковую оболочку, прим. ред.) локализуется на стенках микрососудов. Мы обнаружили, что идёт достаточно грубое, тяжёлое поражение эндотелиальных клеток. И дальше встал вопрос: «Какой молекулярный путь к этому приводит?», - рассказал Руслан Насыров о ходе исследования. |
Выяснилось, что ключевую роль тут играет апоптоз - механизм «самоликвидации» клеток. Он постоянно имеет место и в норме: регулярная, генетически запрограммированная гибель отдельных клеток необходима для функционирования организма. Однако иногда это явление приобретает патологические формы.
|
|
- Исследуя белок апоптоза - CD-95 - мы выявили его экспрессию. Маркеры апоптоза говорят о том, что в клетках эндотелия был запущен механизм самоуничтожения, - пояснил проректор по научной работе. |
При апоптозе размер клетки уменьшается, мембрана уплотняется, образуются вздутия, завершающиеся формированием клеточных фрагментов, содержащие обломки ядер (апоптические тельца). Именно такую картину разрушения клеток эндотелия микрососудов наблюдали исследователи.
|
- Вирус, попадая в клетку, не разрушает её, он не обладает цитопатическим эффектом. Вирус наоборот «заинтересован» в сохранении клетки, поскольку он в ней размножается. Но организм, когда вирус попадает в клетку, отправляет цитокины - факторы клеточного иммунитета. Для цитокина вирус внутри клетки недосягаем, и он запускает процесс апоптоза, - рассказал Руслан Насыров. |
Термин «цитокиновый шторм», получивший широкую известность в разгар пандемии, имеет прямое отношение к этому явлению. В ряде случаев возникает необузданная реакция организма, когда огромная масса цитокинов выбрасывается в кровь и вызывает массированное нарушение гемодинамики, нередко приводящее к смерти.
Какой именно из множества известных цитокинов «нажимает на спусковой крючок» уничтожения клетки эндотелия пока неизвестно, это тема отдельного исследования. Но уже ясно, что открытия в этой области могут помочь в создании новых препаратов, эффективных против COVID-19 .
Данным же исследованием учёные Педиатрического университета доказали гипотезу о том, что эндотелий микрососудов — это первичная и доминирующая мишень воздействия патогенов.
|
- Мы доказали, что в первую очередь поражается эндотелий сосудов, а уже вторично страдают другие клетки, поскольку прекращается транспорт кислорода к ним. Это новое слово в понимании теории патологии. Из этого следует, что в случае заболевания нужно обратить особое внимание на состояние микрососудов, использовать возможные средства для защиты сосудов, - резюмировал Руслан Насыров. |
Представленные результаты имеют важное значение для разработки методов исследования эндотелия, создания и использования новых эндотелийпротекторных препаратов при COVID-19, а также профилактики других заболеваний, в том числе неинфекционного происхождения.
Читать статью «COVID-19 у детей: молекулярный профиль
и патологические особенности» >>>